▲(왼쪽부터) 서울대병원 김승기 교수·김상완 연구교수, 서울의대 이중엽 교수, 삼성서울병원 이종석 교수

희귀난치성 뇌혈관질환 ‘소아 모야모야병’의 발생 양상과 치료 및 예후를 전국 단위로 분석한 결과가 나왔다. 국내 연구팀이 2006~2021년 국민건강보험공단에 등록된 소아 모야모야병 환자의 데이터를 분석한 결과, 유병률은 지속적으로 증가한 반면 신규 발생률은 감소한 것으로 나타났다. 사망률과 허혈성 뇌졸중 발생률은 지속적인 감소 추세를 보였고, 특히 치명적 합병증인 ‘출혈성 뇌졸중’이 약 40% 유의미하게 감소해 국내 모야모야병 치료 환경의 질적 향상을 보여줬다. 이 결과는 국내 모야모야병에 대한 임상 네트워크 구축과 치료 가이드라인 작성의 기초 자료가 될 것으로 기대된다.

▲연구 개요
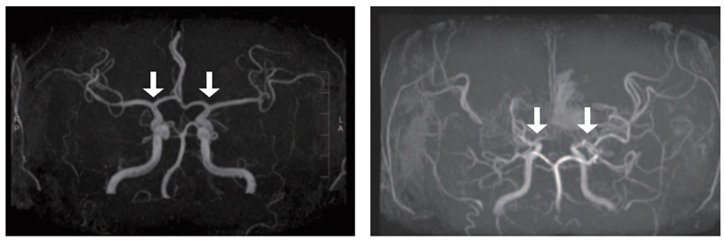
▲(왼쪽부터) 정상 및 모야모야병 환자의 뇌혈관

모야모야병은 뇌로 혈액을 공급하는 혈관이 원인 없이 점차 좁아지는 만성 진행성 뇌혈관질환이다. 10세 전후 소아와 40세 전후 성인에서 주로 발병하며, 부작용으로는 뇌혈관이 막히거나 파열되는 허혈성·출혈성 뇌졸중이 있다. 그중 소아 환자는 성인보다 허혈성 뇌졸중이 빈번하고, 장기 예후가 대체로 양호하지만, 3세 미만 어린 연령에서는 진행이 빨라 주의가 필요하다. 그러나 국내 소아 모야모야병 인구를 분석한 장기간 역학 자료는 제한적이었고, 이들의 예후를 분석한 결과도 드물었다.

서울대병원 소아신경외과 김승기 교수·의생명연구원 김상완 연구교수와 서울의대 이중엽 교수, 삼성서울병원 이종석 교수팀은 2006~2021년 국민건강보험공단에 등록된 전국 18세 미만 소아 모야모야병 환자 4323명의 발생률, 유병률, 수술법, 예후 등을 후향적으로 분석한 결과를 5일 발표했다.

그 결과, 인구 10만명당 소아 모야모야병 발생률은 지속적으로 감소해 2010년부터 약 2명 수준을 유지했으나, 유병률은 2006년 9.3명에서 2021년 24.8명으로 증가했다. 이는 전체 소아 인구가 감소한 반면, 모야모야병 환자의 생존율이 향상됐기 때문이라고 연구팀은 설명했다.

예후 분석에서는 사망률과 전체 뇌졸중, 허혈성 뇌졸중 발생률이 통계적으로 유의미하지는 않지만 지속적으로 감소하는 경향을 보였다. 특히 사망률은 2007년 1000인년당* 3.6명에서 이후 대부분의 연도에 1명 내외로 안정적으로 유지됐으며, 연구팀은 이 결과가 국내 치료 환경이 소아 모야모야병 환자의 장기 생존에 유리하다는 점을 의미한다고 설명했다.

*1000인년당 사망률: 환자 1000명을 1년간, 또는 100명을 10년간 관찰했을 때 발생한 사망 건수

한편, 치명적인 출혈성 뇌졸중은 2006년 1000인년당 3.3건에서 2021년 2.0건으로 약 40% 유의미하게 감소해, 소아 모야모야병 치료의 질적 향상을 보여줬다.

또한, 수술법으로는 대부분 간접문합술(뇌에 피를 공급하도록 두피 혈관을 분리해 뇌표면에 접촉시킴)이 실시됐고, 전체 수술률은 점차 증가해 2018년부터는 88%의 환자가 수술적 치료를 받았다. 한편, 수술군은 비수술군 대비 평균 연령이 어린 것으로 나타났다(9.5세 vs 12.4세).

김승기 교수(소아신경외과)는 “이번 연구를 통해 전국 소아 모야모야병 발생률과 예후에 대한 기초 자료를 확보했다”며 “축적된 역학 자료를 기반으로 향후 다기관 임상 네트워크 구축 등을 통해 국내 임상현실에 최적화된 소아 모야모야병 치료 방향이 수립되길 기대한다”고 말했다.

이번 연구는 이건희 소아암·희귀질환 극복사업의 지원을 받아 수행됐으며, 국제학술지 ‘국제 뇌졸중 저널(International Journal of Stroke, IF;8.7)’ 최근호에 게재됐다.